Aneurisma de arteria coronaria


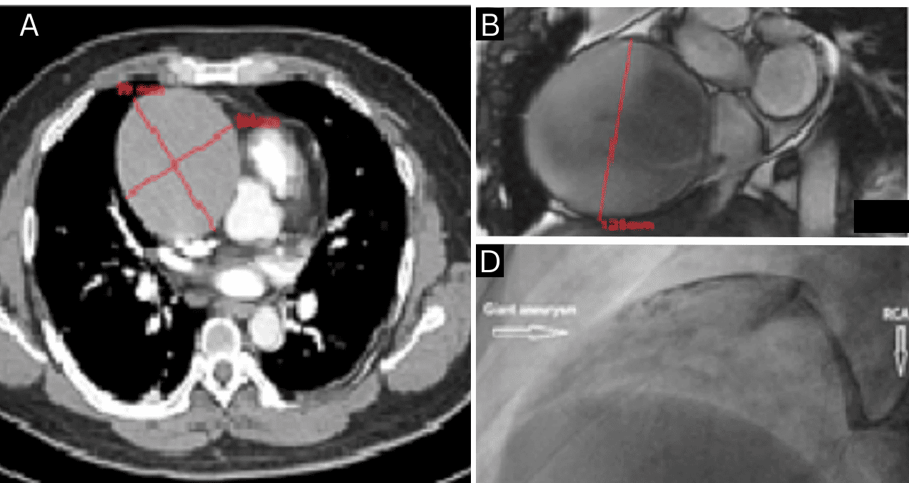
Hombre de 40 años presenta aneurisma gigante de arteria coronaria derecha asociado a consumo de drogas
Hombre de 40 años presenta aneurisma gigante de arteria coronaria derecha asociado a consumo de drogas

El aneurisma fue inicialmente sospechado como una posible fístula aorta-aurícula derecha.