Un reciente estudio llevado ha revelado que los adultos que duermen solo de tres a cinco horas al día, afectan directamente la salud metabólica y endocrina.
En un mundo donde la cultura del fitness y la salud ha puesto el foco en el consumo de proteínas, un reciente estudio publicado en la prestigiosa revista Nature Metabolism advierte sobre los peligros de excederse en este aspecto.
El Consejo Renal de Puerto Rico ha enfocado su atención en la importancia del acceso equitativo a la atención médica y la medicación para los pacientes renales en la isla.
Puerto Rico es uno de los países de habla hispana con mas investigación sobre endometriosis y estadísticas actualizadas al respecto gracias, entre otras cosas, a la impresionante labor de la Dra. Flores.
La prevalencia de la diabetes como principal desencadenante de estas afecciones en Puerto Rico y la falta de acceso equitativo a la atención médica.
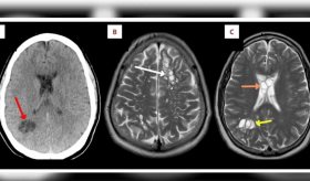
El paciente que visitaba una clínica por migrañas, tenía larvas parasitarias creciendo en su cerebro y terminó con un diagnóstico de neurocisticercosis.
Más de la mitad de las muertes por hipertensión arterial afectan a mujeres y este nuevo enfoque representaría una conexión importante con la psiquiatría.
Estudios recientes han revelado la importancia de esta comunidad microbiana en la regulación del sistema inmunológico y la promoción de una barrera cutánea saludable.
Un nuevo estudio del Instituto Karolinska en Suecia revela que las células inmunes en el hígado tienen una respuesta activa ante niveles elevados de colesterol.
Investigadores del MIT (Instituto tecnológico de Massachusetts) han descubierto que estimular las ondas cerebrales gamma puede proteger a los pacientes de cáncer de los efectos cognitivos de la quimioterapia.
La importancia de la paciencia, prudencia y perseverancia en el proceso de incorporar el ejercicio como terapia.










